달서구치과 위쪽 앞니 입천장 부위 낭종적출술
비구개관 낭종에 대해 들어보신 적 있으신가요?
비구개관 낭종은 입천장의 신경관인 비구개관에서 발생하는 양성 낭종으로 주로 윗니 사이에 위치하며 크기가 커지면 통증이나 부종, 구개부 돌출 등 증상이 나타날 수 있습니다. 비구개관은 태생기에 존재하는 구조물로 보통 출생 후 퇴화하지만 일부 상피 잔여물이 남을 수 있고 이 세포들이 자극을 받아 증식하면 낭종이 되는 것인데요. 대부분 무증상이지만 증상이 있거나 낭종이 커질 경우 수술적 제거가 필요한데요. 이는 치아와 무관한 비치성 낭종으로 x-ray,ct 등 영상 검사를 통해 위치, 크기, 주변 구조물과의 관계를 확인합니다.
수술 및 관리 방법은 전신마취 또는 부분마취로 입안에서 낭종을 제거하며, 수술 후 1~2주간 부드러운 음식 섭취와 구강 위생 관리가 중요한데요. 수술 후 1~2주 내에 통증과 붓기가 대부분 가라 앉으며 실밥 제거 후 정상적인 식사가 가능합니다. 주의해야 할 것은 수술 직후 출혈과 감염 예방을 위해 부드러운 양치, 흡연, 음주 자제, 처방 약물 복용 등이 필요합니다.
또한, 비구개관 낭종은 대부분 양성이나, 증상이 있거나 크기가 커질 경우 반드시 달서구치과 전문의의 진단과 치료가 필요합니다.

2025.08.01

2025.08.01
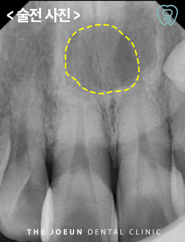
오늘은 위쪽 앞니 입천장 부위 낭종을 적출하신 환자분을 소개해 드리려고 합니다.
환자분께서는 입천장이 붓는 느낌이 들고 통증이 있다고 하시며 달서구치과에 내원해 주셨는데요. 파노라마를 촬영해 보았을 때, 위쪽 앞니의 뿌리 쪽으로 아주 커다란 물혹이 관찰되었는데요. 더욱 정밀한 진단을 위해 x-ray와 CT 촬영을 모두 진행하였습니다.

2025.08.01

2025.08.01
모든 방사선 검사에서 경계가 뚜렷이 보이는 낭종이 관찰되었고 낭종적출술을 진행하기로 계획을 수립하였습니다.

2025.08.14

2025.08.14
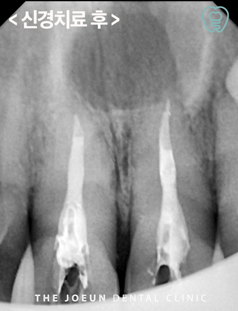
낭종 적출술을 진행하기 전 신경치료를 먼저 완료하였습니다.

2025.08.21

2025.08.21
수술 과정의 사진입니다.
염증의 원인이 되었던 수술 후 낭종 제거 부위와 제거한 낭종의 사진인데요. 낭종 제거와 함께 주변의 염증까지 깨끗하게 제거하고 나니 까만 빈 공간이 관찰됩니다.

2025.08.21
다음으로 낭종이 제거된 빈 공간에 뼈이식재를 채워줍니다. 뼈의 빈 공간이 큰 경우 특히 앞니의 경우라면 뼈가 주저 않는 경우가 있어 뼈이식이 필요합니다.

2025.08.21
이어서 봉합을 한 후, 장치를 장착해 드렸습니다. 환자분께서는 붓기와 통증이 사라졌고 하나도 아프지 않다고 하시며 정말 감사하다며 밝게 웃으셨습니다.

2025.08.21
이러한 입안 낭종으로 인해 대학 병원을 가라는 말씀을 들어보신 분들도 계실텐데요. 달서구치과에는 구강악안면외과 전문의와 치과보존과 전문의가 상주하여, 대학병원에 가지 않으셔도 치료가 가능합니다. 구강악안면외과 전문의란 구강, 턱, 얼굴 부위에 발생하는 감염, 손상, 기형 및 종양 등의 질병을 진단하고 외과적 수술과 보조적 치료를 통해 심미적, 기능적으로 회복시켜주는 외과의 전문 분야이며, 치과보존과는 치관이나 치수 병소를 치료하고 치아와 관련된 동통을 제거하여 저작, 발음, 심미 기능을 회복시키는 분야를 말합니다.
구강 내에서 발생할 수 있는 낭종의 종류는 다양하게 존재하며 조직의 성질을 파악하기 위해서는 세밀한 검진이 필수적입니다.
다양한 검사를 통해 정밀하게 진단하고 수술을 통해 제거해 주어야 하는 과정이 필요하기 때문에 의료진의 숙련도가 중요시되는데요. 강창더좋은치과에서는 정기적인 검진을 통해 질환을 예방하고 초기에 치료할 수 있도록 현재의 구강 상태를 올바르게 판단하고 진단하여 통증은 줄이고 안정적인 진료로 보답할 수 있도록 노력하겠습니다. 감사합니다!
*모든 증례 사진은 의료법 제23조, 제 56조에 의거하여 환자분의 동의 하에 업로드가 진행되었습니다.
*치료 사진은 모두 본원에서 치료한 환자분의 사진입니다.
*치료 사진은 모두 동일인의 사진이며, 동일조건에서 촬영하였습니다.
*개인의 차이에 따라 시술 및 수술 후 부작용이 발생할 수 있으며, 의료진과 충분한 상담을 받으시기 바랍니다.